近日世界卫生组织(WHO)已经向外界做出宣布:将新型冠状病毒列为全球大流行的级别!而大马的确诊人数每天都在攀升,截至昨天(3月12日)已累计158宗确诊病例!


然而许多大马人对于这恐怖的病毒,似乎还缺少了警觉性和危险意识。因此一名大马电子商务公会名誉顾问——胡昌隆,日前通过面子书发文说出新冠肺炎的严重性,希望借此提醒大家:不能小看这来势汹汹的可怕病毒!

原文如下:
很多人还在那边说:「 COVID-19 新冠肺炎(Coronavirus)是小事情啦、不要紧啦、夸张啦!」之类的。因为很多人不知道,得病之后没有发现,演变成重症,会有多严重,多可怕!
新冠肺炎是典型的ICU病,一进入呼吸窘迫(ARDS)不能呼吸的时候,就是必然要进去ICU里面插管上呼吸机,才能治疗好的重症与危重症。
问题在于,一旦几百个重症患者,几千个重症患者同时过来,ICU不够,就会医疗奔溃了。(马来西亚ICU够吗?负压隔离病房够吗?呼吸器够吗?叶克膜ECMO够吗?能做肺移植手术吗?)

不要以为看见方舱医院里面还在打太极、唱歌、跳舞,这么爽,那些是小病的时候就被筛检进来方舱医院去打太极的,都是提早发现提早治疗,才不会变成呼吸窘迫,变成重症。一个人重症,就要多少个医护人员,全副武装、全程照顾、时刻不能松懈,多么浪费医疗资源啊!
所以只要有发现疑似病例,真的要马上去筛检了,早发现:小事,晚发现:大事!
记得,一人得病,整间公司/建筑物/学校都要封闭、上百人被隔离,我们不要自私,要为别人着想!

该帖文在短短的2天内就超过1万人转发,随后胡昌隆再发一篇文,提及新冠肺炎的死亡病例,在临离世前所出现的可怕症状!让网友们震惊不已!

原文如下:
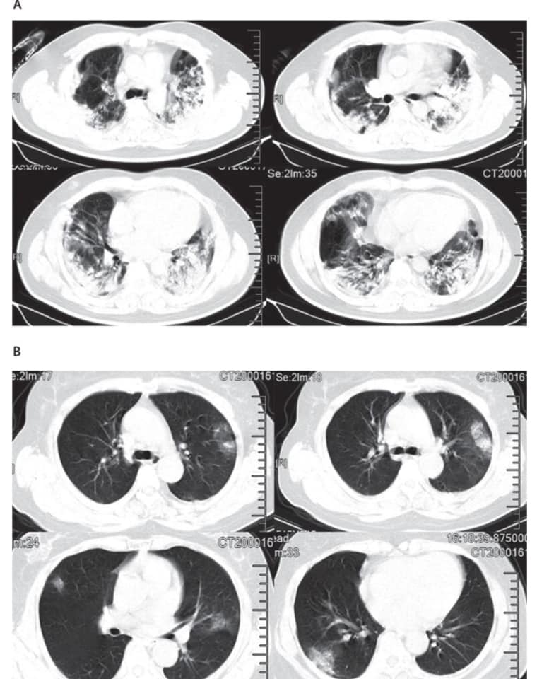
COVID-19新冠肺炎的重症与危重症,看了CT的肺绝对捏出一把冷汗,如今我们现在已经成功解剖了好几个死亡病例的遗体。
看见遗体的肺,连经验丰富的法医都被吓坏,遗体的肺根本已经彻底报废,里面都是粘液。所以说,患者死亡之前,是完全不能呼吸空气、乱喊乱叫,好像被水淹死的感觉!

别以为看见方舱医院里面的患者打太极、吃中药,就这样痊愈了,就认为疫情并不严重,其实他们是幸运的一大群,提早被发现,还没有演变成肺炎就被发现的轻症!
新冠肺炎重症,就是一个只有进ICU,依靠插管上呼吸器才能维持生命的恐怖肺炎。当然患者少的时候,国家医疗能力绰绰有余,但是一旦上百个患者,上千个患者如海啸般排山倒海涌来,都是呼吸窘迫(ARDS),需要呼吸机插管,这完全就会医疗体系大崩溃!

要知道,插管上呼吸器不果,就是最后的手段,上叶克膜ECMO,如若还不行,就得等老天爷眷顾,刚好有人捐肺,开展肺移植手术换肺了!
一个重症患者进来ICU,就要耗费多少的医护人员参与长时间抢救与看顾,而且全体医护人员都是拿自己的生命来与你向死神搏命!所以千万不要自私自利,耗费这么多医护人员,这么多医疗资源,为你的自私买单!
一人得病,整间公司/建筑物/学校,只能被迫关闭,还导致上百上千人被隔离,甚至被感染患病,为了身边的亲人,为了朋友,千万不要自以为是,让自己变成超级传播者,毒害身边人!

▼ 不要为了出国旅行,而赔上自己的生命!

▼ 这惨痛的教训是用多少生命换来的!

▼ 这次的病毒真的不容忽视!

别在轻忽这次的新冠肺炎,抗疫期间大家千万要多加小心和注意!防疫不只是为了自己,同时也在保护身边无辜的人!
来源:Facebook
