你还在吸电子烟吗?日前一名19岁华裔女子因为长期吸电子烟,导致她差点丢了性命!

来自美国马里兰州(State of Maryland)的华裔女子 Claire Chung 于12月29日通过 Instagram 发文,因为高烧不退而住院接受治疗。经过检查后发现,Claire 因为吸入过多的电子烟,导致她的肺部永久性损伤。

据《东方日报》报道,上个月初 Claire 连续三个星期高烧不退,体温高达摄氏40度。一开始她以为只是感冒或身体受寒。吃了药却没有退烧,于是她决定到医院进行进一步的检查。
照了X光的结果发现,Claire 的左肺下方有轻微发炎的现象,但服用抗生素48小时以后,高烧依旧没有改善。

由于病情持续恶化,Claire 就在圣诞节早上进入了急诊室。但医生却一直找不到病因,直到电脑断层扫描(CT Scan)肺部后,才发现Claire 的肺一片浑浊灰白,而且完全覆盖了两个肺。
Claire 立即被送入重症监护室,经过多项的测试和支气管镜检查后,确定没有受到感染,医生认为 Claire 的病状最大可能就是吸电子烟所致。

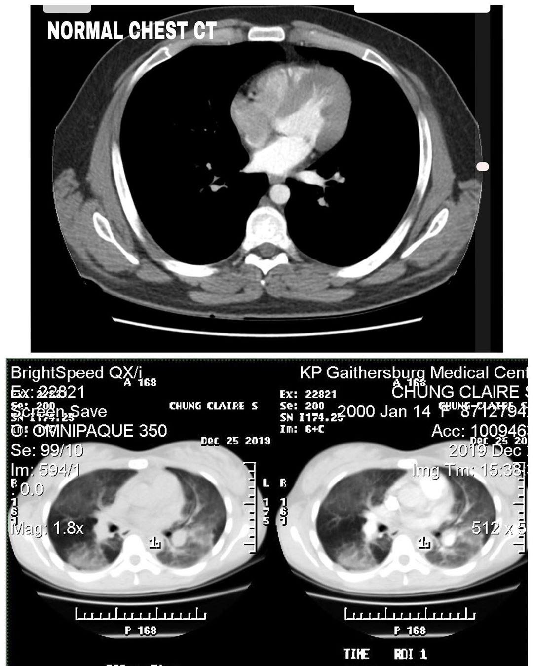
Claire 之后在 Instagram 上传她的电脑断层扫描结果,从这些X光片中可以看到,正常的肺是黑的,但她的肺已经变成是一片混浊而且发白的。
▼ 图 ①(上图为正常的肺,下图为 Claire 的检查结果。)

▼ 图 ②(上图为正常的肺,下图为 Claire 的检查结果。)

▼ 图 ③(上图为正常的肺,下图为 Claire 的检查结果。)

▼ 图 ④(上图为正常的肺,下图为 Claire 的检查结果。)

虽然 Claire 的肺部已受到如此严重的损伤,但最令人震惊的是:除了发高烧以外,Claire 从未出现过其它的症状,例如:呼吸急促、咳嗽、气喘、胸痛或胸闷迹象等。
连治疗她的医生都表示从来没有看过这样的病例,不确定肺部的损伤是来自血液、体液、细菌或病毒所造成。但医生可以肯定的是:若 Claire 再慢一步入院,就无法救治了。

▼ 太多人因为电子烟都受害不浅!戒烟吧!



